Coronavirus Doesn’t Exist?
DEBATES ON COVID - VACCINES, 4 Apr 2022
Swiss Policy Research - TRANSCEND Media Service
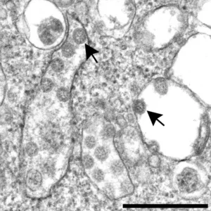
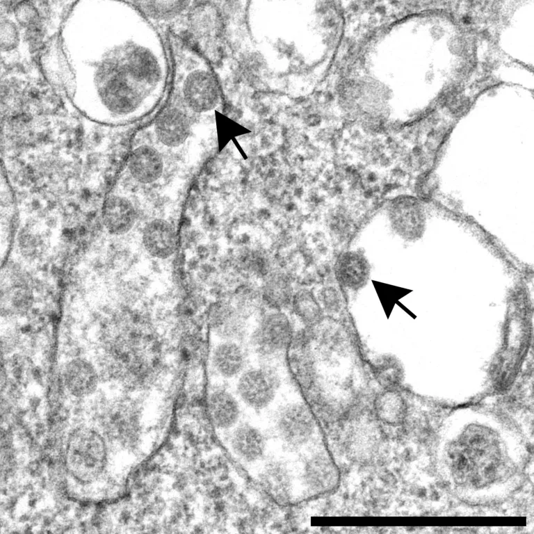
3 Apr 2022 – For (non-scientist) readers interested in questions such as the reality of SARS-CoV-2 (or viruses in general), if it is causing covid, if the virus fulfills Koch’s postulates, if it has been isolated etc., SPR recommends this Twitter thread by geneticist Kevin McKernan.
While viruses were discovered only decades after Koch, cannot be cultured in the classic sense, and cannot be seen with a conventional light microscope, they are still very real.
For readers interested in the more specific and more complex question of whether the human retrovirus often called HIV is causing the syndrome often called AIDS, see this overview of skeptical scientific papers, articles and documentaries.
__________________________________________
Swiss Policy Research, founded in 2016, is an independent, nonpartisan and nonprofit research group investigating geopolitical propaganda in Swiss and international media. SPR is composed of independent academics that for personal and professional reasons prefer to protect their identities, and receives no external funding; there are no financial sponsors or backers. Our articles have been published or shared by numerous independent media outlets and journalists, among them Julian Assange, and have been translated into more than two dozen languages.
Tags: Big Pharma, COVID-19, Capitalism, Conspiracy Theories, Coronavirus, Corruption, Economy, Elites, Environment, Finance, Greed, Health, Inequality, Lockdown, New World Order, Pandemic, Profits, Public Health, Research, Robert F. Kennedy Jr, Science and Medicine, Vaccines, WHO, World
DISCLAIMER: The statements, views and opinions expressed in pieces republished here are solely those of the authors and do not necessarily represent those of TMS. In accordance with title 17 U.S.C. section 107, this material is distributed without profit to those who have expressed a prior interest in receiving the included information for research and educational purposes. TMS has no affiliation whatsoever with the originator of this article nor is TMS endorsed or sponsored by the originator. “GO TO ORIGINAL” links are provided as a convenience to our readers and allow for verification of authenticity. However, as originating pages are often updated by their originating host sites, the versions posted may not match the versions our readers view when clicking the “GO TO ORIGINAL” links. This site contains copyrighted material the use of which has not always been specifically authorized by the copyright owner. We are making such material available in our efforts to advance understanding of environmental, political, human rights, economic, democracy, scientific, and social justice issues, etc. We believe this constitutes a ‘fair use’ of any such copyrighted material as provided for in section 107 of the US Copyright Law. In accordance with Title 17 U.S.C. Section 107, the material on this site is distributed without profit to those who have expressed a prior interest in receiving the included information for research and educational purposes. For more information go to: http://www.law.cornell.edu/uscode/17/107.shtml. If you wish to use copyrighted material from this site for purposes of your own that go beyond ‘fair use’, you must obtain permission from the copyright owner.
Read more
Click here to go to the current weekly digest or pick another article:
DEBATES ON COVID - VACCINES:
